
Ein schöneres Lächeln durch die Zahnrestauration mit Komposit

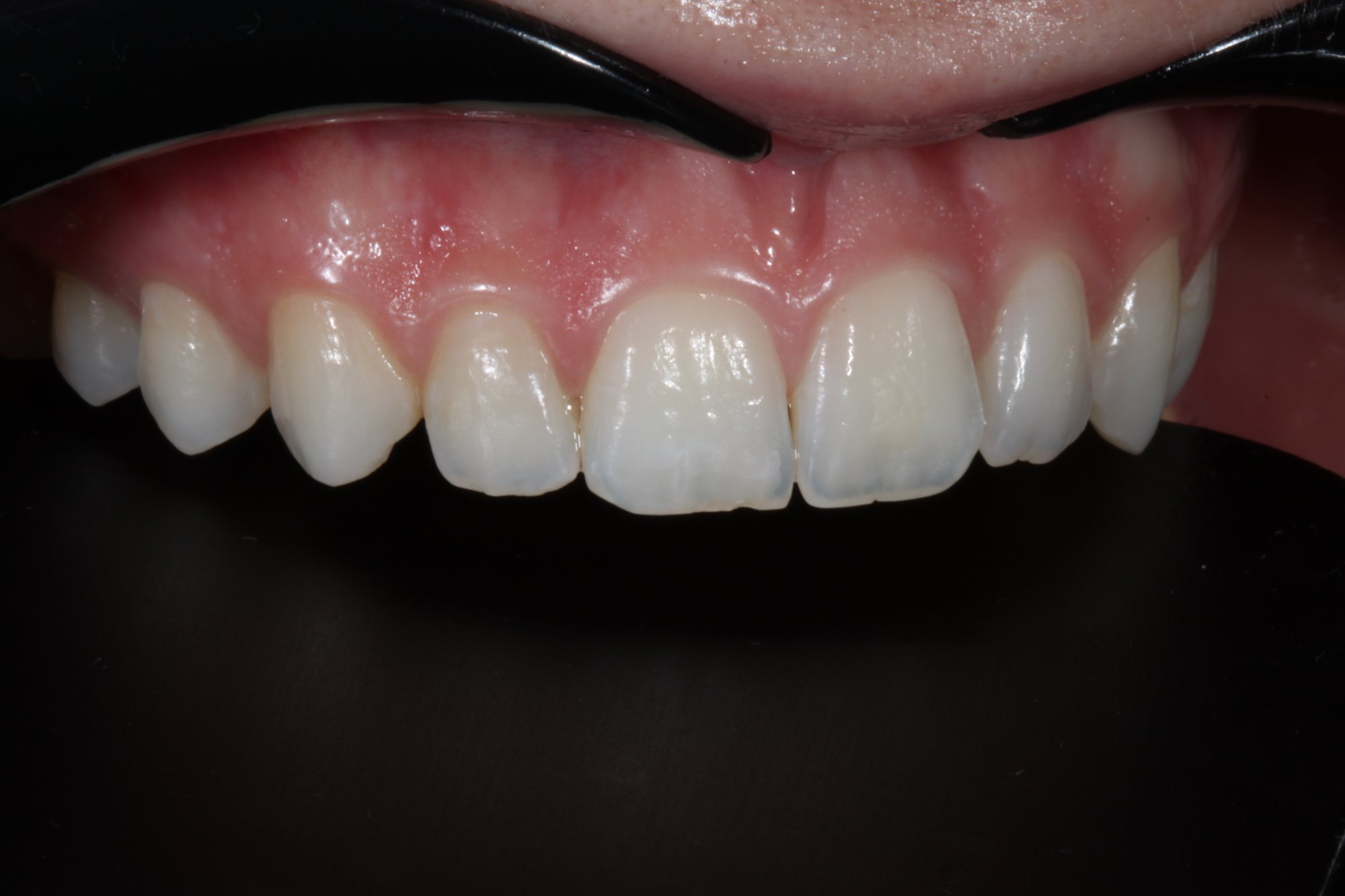
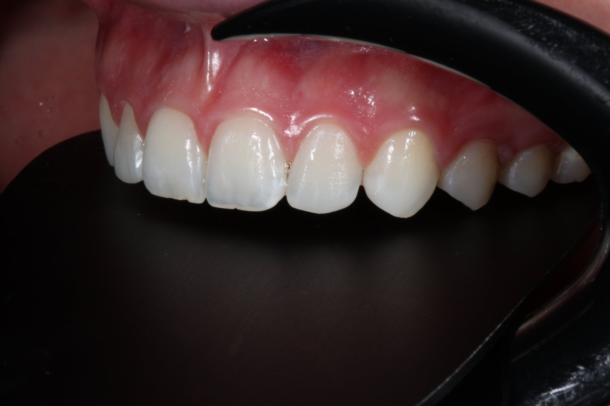
Die Ausgangssituation
Die 21-jährige Patientin von Dr. Maria Cura hatte folgendes Anliegen: „Ich hätte gern ein schöneres Lächeln. Meine seitlichen Schneidezähne sehen ausgefranst aus, der Eckzahn ist zu schnabelförmig". In diesem Artikel werfen wir einen Blick auf das Vorgehen von Dr. Maria Cura und das Behandlungsergebnis ihrer Patientin. Im Fokus dabei steht die Restauration mehrerer Zähne mit Filtek Easy Match.
Vorgehen
Kleine Restaurationen im Bereich der Inzisalkante sind extrem herausfordernd. Da der verfügbare Platz sehr begrenzt ist, gestaltet sich der Einsatz verschiedener Opazitäten schwierig. Im Sinne der Vereinfachung erscheint die Verwendung einer Einfarb-Technik ideal. Jedoch sind zwingend gute ästhetische Ergebnisse zu erzielen. Eine 21-jährige Patientin bei guter Gesundheit stellte sich vor, weil sie mit ihrem Lächeln unzufrieden war. Die Opazität von 3M™ Filtek™ Easy Match passt sich der natürlichen Umgebung an und ist genau dort, wo ich es benötige, so transluzent wie Schmelz und so opak wie Dentin.



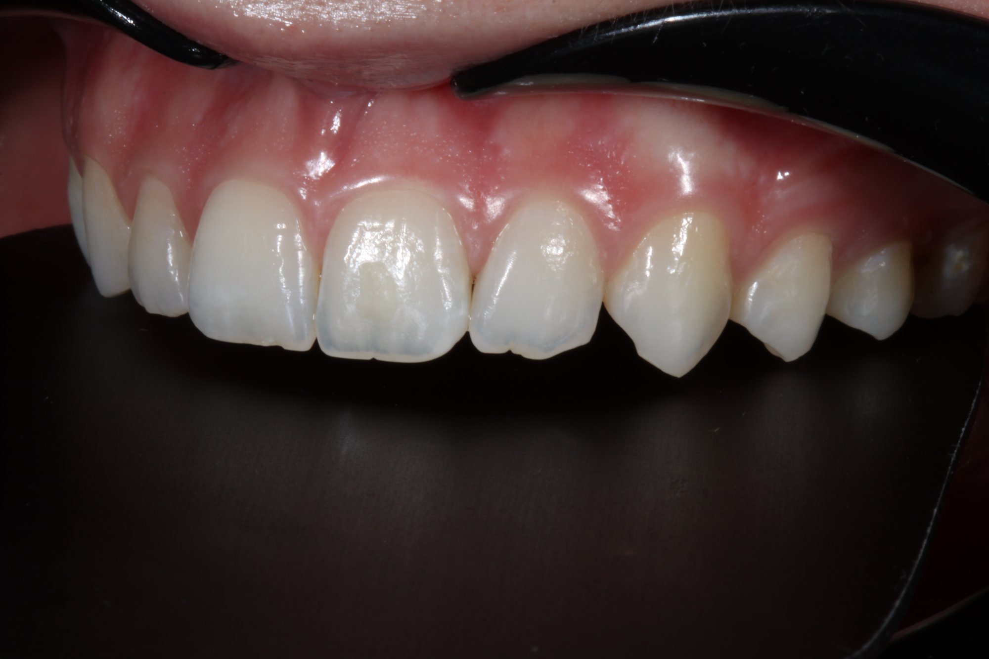
Farbbestimmung
Mithilfe einer gewöhnlichen Aufnahme und einer Aufnahme mit Polfilter zeigt sich: Bright fügt sich dank des höheren Farbwertes besser in die Umgebung ein.


Beginn der Behandlung



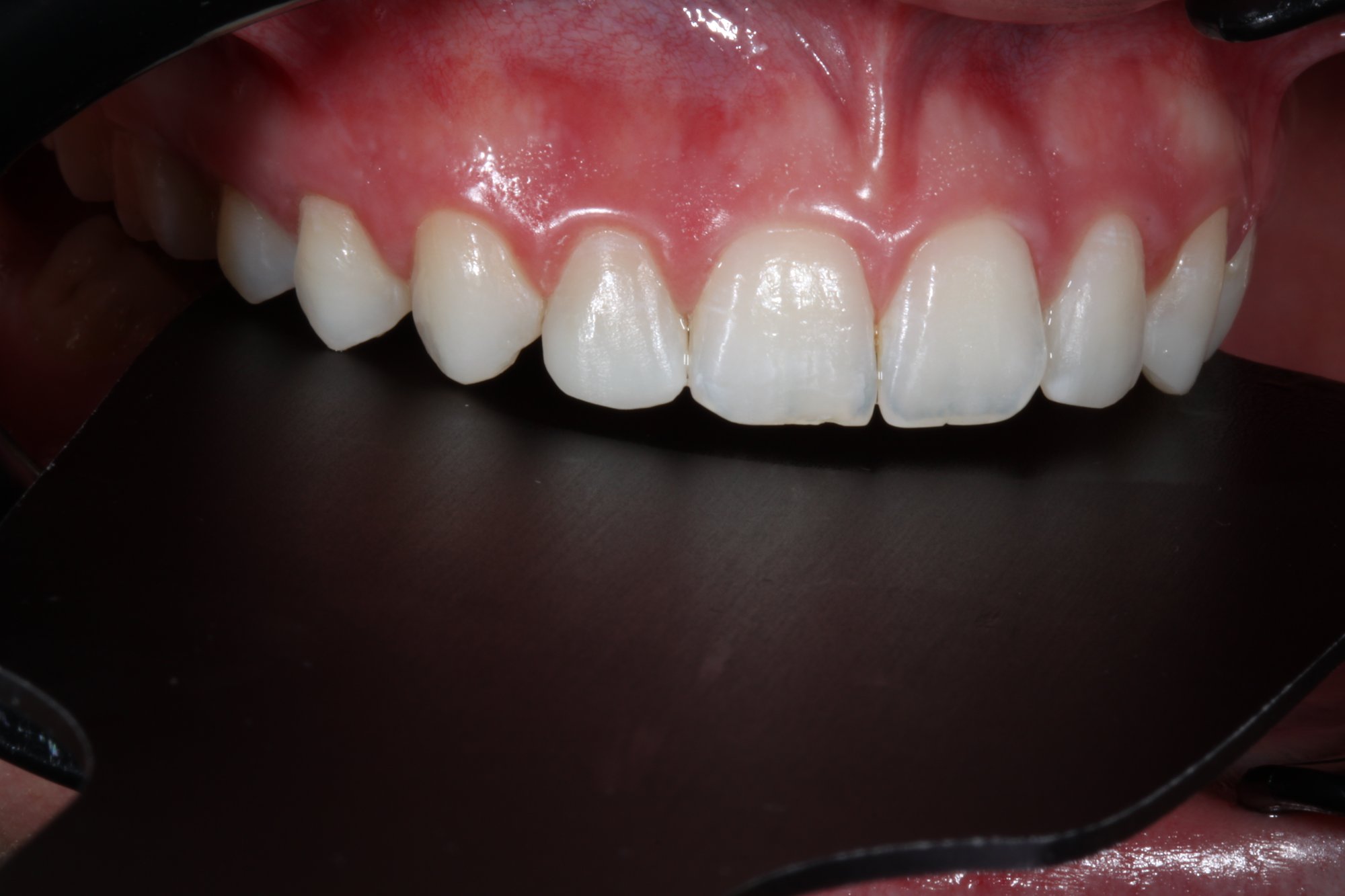
Weitere Schritte der Behandlung



Finale Behandlungsschritte



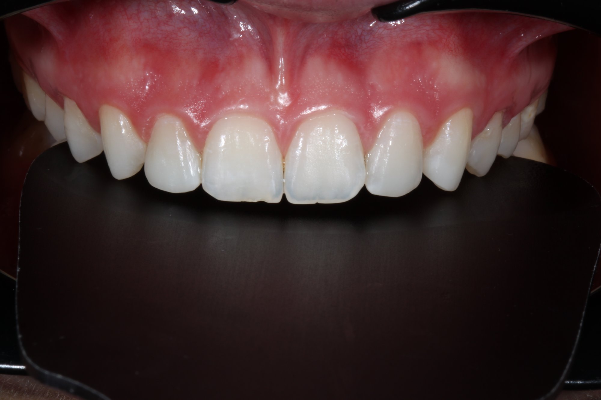
Behandlungsergebnis



Über Dr. Maria Cura
Maria Cura studierte Zahnmedizin an der Universidad Rey Juan Carlos (URJC) in Madrid, Spanien, wo sie die Abschlüsse DDS und PhD mit internationaler Anerkennung erhielt. Sie ist Spezialistin für ästhetische restaurative Zahnheilkunde an derselben Universität und hat zudem ein postgraduales Studium in Prothetik abgeschlossen (SCOE). Aktuell ist sie als Hochschullehrerin in Teilzeit an der Universidad Rey Juan Carlos tätig. Dr. Cura ist Autorin mehrerer Forschungsartikel in internationalen Fachzeitschriften mit Impact-Index. Sie leitet regelmäßig Weiterbildungen im Bereich ästhetische Zahnheilkunde und hat mehrere Auszeichnungen für ihre Forschung und klinische Tätigkeit erhalten. Sie betreibt zudem eine Praxis für ästhetische restaurative Zahnheilkunde in Madrid (Spanien).
Autor: Dr. Maria Cura.
SIND SIE NEUGIERIG GEWORDEN?
Hier finden Sie weitere Produkte und Angebote zum Thema Komposite und Restauration für die
Zahnmedizin und Kieferorthopädie.

Filtek™ Easy Match Universal Restorative
Bietet eine intuitive Farbauswahl zur Vereinfachung von Workflows in der Füllungstherapie, ohne Kompromisse in Sachen Opazität. Auf drei Farben basierendes System. Entwickelt, um in den meisten Fällen einfach und intuitiv eine exzellente farbliche Übereinstimmung mit der natürlichen Zahnfarbe zu erzielen.

Scotchbond Universal Plus
Scotchbond™ Universal Plus Adhäsiv ist für alle direkten und indirekten Indikationen und alle Ätztechniken geeignet. Es haftet an allen Restaurationsmaterialien ohne zusätzlichen Primer.

Sof-Lex™ Vorpolier- und Diamantierräder
Mehrfach verwendbares 2-Stufen-Poliersystem, welches das gleiche Mandrell wie die Sof-Lex-Finier- und Polierscheiben nutzt. Die Polierräder bestehen aus einem thermoplastischen Elastomer und sind entweder mit Aluminiumoxid oder Diamantpartikeln beschichtet. Diese können zum Polieren von Composite-Restaurationen, kunststoffmodifizierten Glasionomeren und temporären Materialien sowie Edel- und Halbmetalle verwendet werden.

