.png?width=1374&height=700&name=Header%20LP%20NOR%20Cham%C3%A4leon-Effekt%20(1).png)
Zahnmedizinische Restauration von Kavitäten der Klasse IV
Die Ausgangssituation
Es stellte sich eine 58-jährige Patientin mit erneuerungsbedürftigen Restaurationen an den Zähnen 11 und 21 vor. Durch den Verschleiß des Komposits erschienen die klinischen Kronen kürzer als ästhetisch angemessen. Zur Wiederherstellung der ursprünglichen, harmonischen Proportionen wurde entschieden, beide Zähne neu zu versorgen.


Die Herausforderung
Die oberen Schneidezähne sind die Zähne, an die die höchsten ästhetischen Ansprüche gestellt werden. Nicht selten erfordern die anatomischen Details an diesen Zähnen die Kombination mehrerer Komposit-Massen unterschiedlicher Opazität. Im vorliegenden Fall gelang es jedoch, die ästhetischen Ansprüche der Patientin durch den Einsatz eines einzigen Komposit-Farbtons zu erfüllen.
Farbauswahl
Mit 3M™ Filtek™ Easy Match Universal Komposit ist es nicht notwendig, eine Farbskala zu verwenden. Da ich jedoch dieses Komposit zum ersten Mal einsetzte, entschied ich mich für die Herstellung eines Farbschlüssels aus dem Material selbst mit seinen drei verfügbaren Farboptionen (Warm, Natural und Bright). Dies erlaubt die Bestimmung des am besten geeigneten Farbtons. Gewählte Farbe: Die Farbe der natürlichen Zähne entsprach dem Farbton A3 der VITA classical A1-D4® Farbskala. Dieser stimmt mit dem Farbton Natural von 3M™ Filtek™ Easy Match überein. Überprüfung der gewählten Farbe: Nach der Entfernung der bestehenden Versorgungen wurde eine geringe Menge 3M™ Filtek™ Easy Match im Farbton Natural ohne vorheriges Ätzen und Bonden im Frontzahnbereich appliziert. Dies diente ausschließlich der Überprüfung des zu erwartenden Farbergebnisses.



Vorgehen
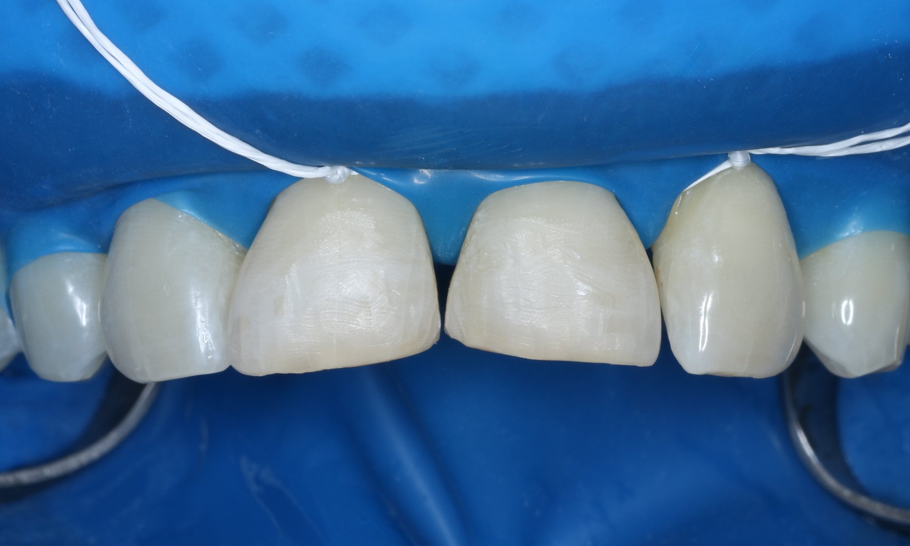
Absolute Trockenlegung mit Kofferdam: Ligaturen aus Zahnseide helfen bei der Fixierung des Kofferdams. Die Zahnhartsubstanz ist im Zustand nach Entfernung der bestehenden Versorgungen dargestellt.
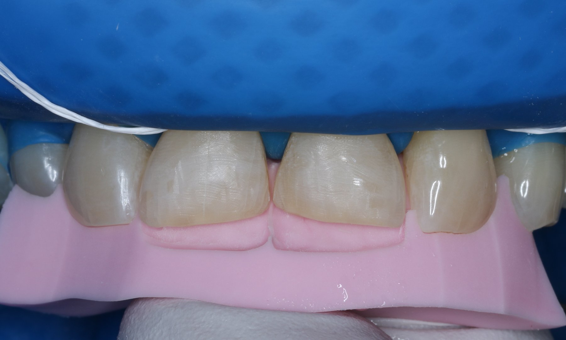
Einprobe des Silikonschlüssels zur Passungskontrolle: Um die Anatomie des Wax-ups vom Modell zu kopieren, wurde ein Schlüssel aus A-Silikon-Abformmaterial hergestellt. Es wird sichtbar, wie viel Zahnhartsubstanz mit Komposit aufzubauen ist, um die Proportionen wiederherzustellen.
Ansicht von lateral: Restaurationen an den Zähnen 11 und 21 nach Ätzen der Präparation mit Phosphorsäure-Ätzgel und Applikation von 3M™ Scotchbond™ Universal Plus Adhäsiv sowie Aufbau mit Komposit.
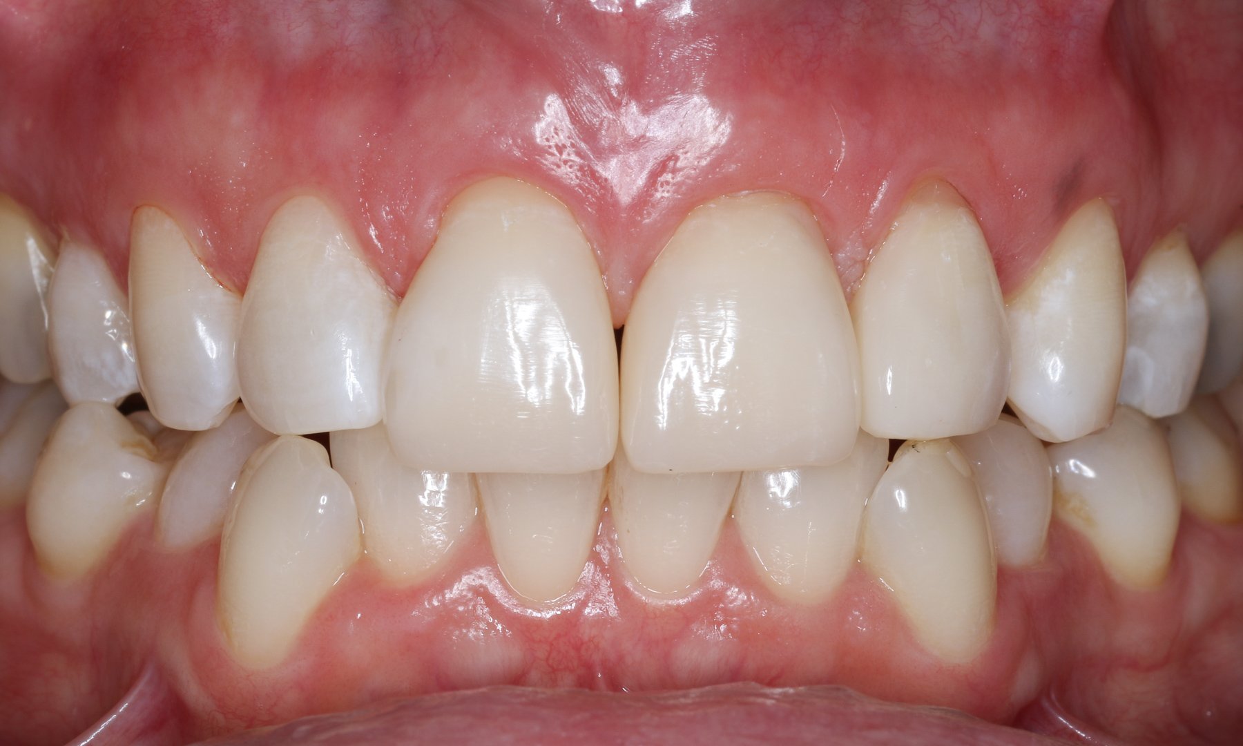
Frontalansicht: Restaurationen an den Zähnen 11 und 21 vor der Ausarbeitung und Politur.

Absolute Trockenlegung mit Kofferdam

Einprobe des Silikonschlüssels zur Passungskontrolle

Ansicht von lateral

Frontalansicht
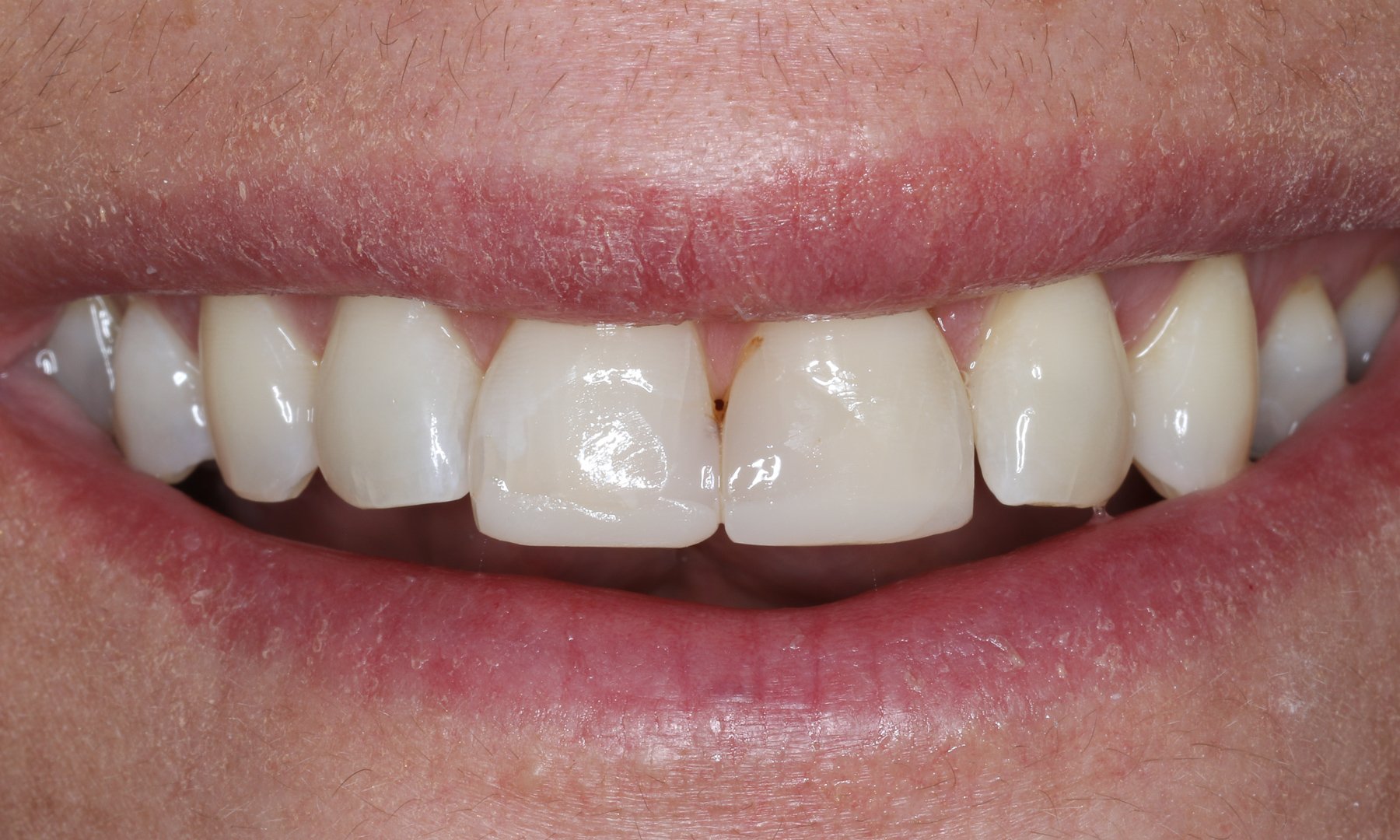
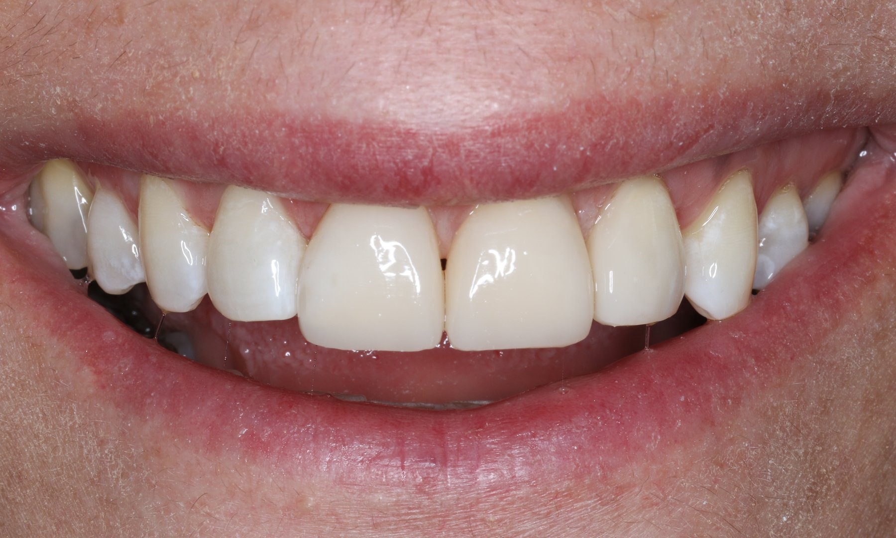
Ergebnis unmittelbar nach Behandlungsabschluss
Situation nach Ausarbeitung, Politur und Entfernung des Kofferdams. Der Einsatz eines Blockers war nicht erforderlich, die Opazität wirkt natürlich.
Postoperative Aufnahme der Zähne in Okklusion: Eine Überprüfung des Farbergebnisses ist aufgrund der dehydrierten natürlichen Zahnhartsubstanz nicht möglich, das Erscheinungsbild aber vielversprechend.
Feststellung: Bei Zähnen mit einer geringen Transluzenz und homogenen Farbstruktur spart der Einsatz von Kompositen mit einem universellen Farbkonzept Zeit, während die Vorgehensweise stark vereinfacht wird. Das Farbergebnis stellte die Patientin zufrieden und die Proportionen der Zähne waren endlich wieder harmonisch. In diesem Fallbeispiel wurde 3M™ Filtek™ Easy Match Universal Komposit im Farbton Natural genommen.



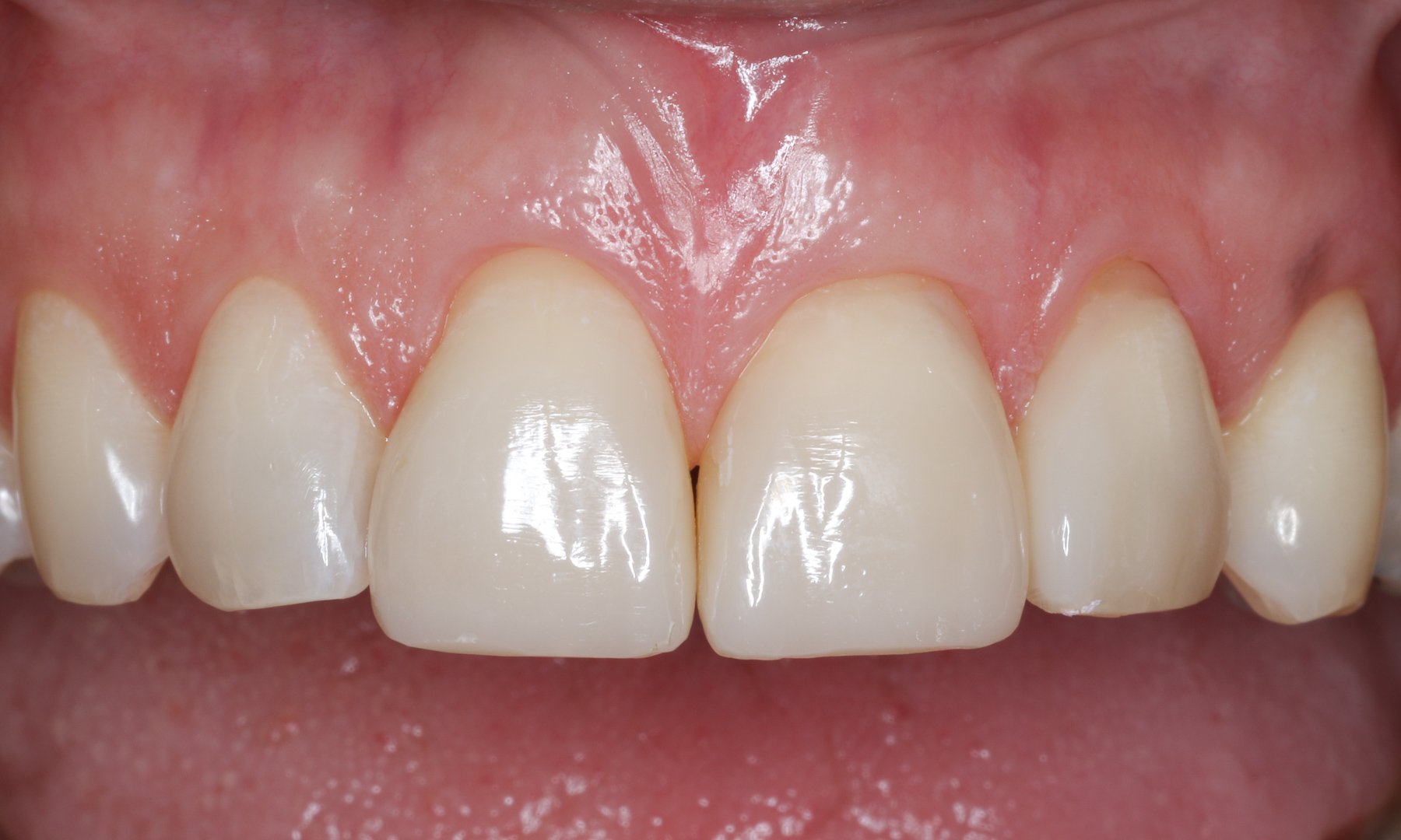
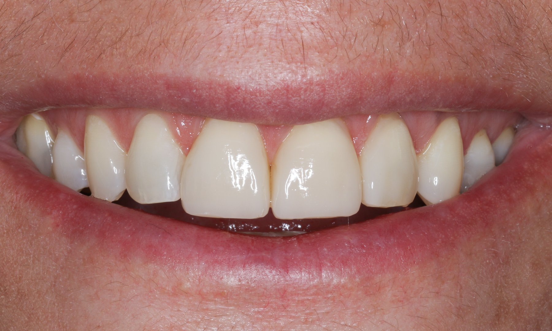
Ergebnis nach vier Wochen
Die Zähne sind vollständig rehydriert und das Komposit stimmt farblich mit der Zahnhartsubstanz überein. Die Patientin ist mit der Farbe und Form ihrer neuen Restaurationen sehr zufrieden.



Der Autor Prof. Dr. med. Dent. Gabriel Krastl ist:
- Direktor der Poliklinik für Zahnerhaltung und Parodontologie am Universitätsklinikum Würzburg
- Mitglied der International Association of Dental Traumatology (IADT) sowie im Stipendienausschuss der IADT
- Mitglied der International Academy for Adhesive Dentistry
- Mitglied der Continental European Division (CED) der IADR
- Mitglied der Deutschen Gesellschaft für Zahnerhaltung (DGZ)
- Vorstandsmitglied der Deutschen Gesellschaft für Endodontologie und zahnärztliche Traumatologie (DGET)
- Swiss Association for Preventive and Restorative and Aesthetic Dentistry (SSPRE)
- Swiss Society of Endodontics (SSE)
Außerdem ist er Autor mehrerer im Peer-Review-Verfahren begutachteter Publikationen über ästhetische Zahnmedizin, minimalinvasive Restaurationen, Traumatologie, Endodontologie und postendodontische Versorgung.
SIND SIE NEUGIERIG GEWORDEN?
Hier finden Sie weitere Produkte und Angebote zum Thema Restauration für die
Zahnmedizin und Kieferorthopädie.

3M™ Filtek™ Easy Match im Farbton Natural
Das Material basiert auf über 50 Jahren Forschung und bietet eine natürliche Opazität mit optimaler Anpassungsfähigkeit. Dank einer intuitiven Farbauswahl und einem Drei-Farben-System ermöglicht es eine einfache Anwendung und erzielt in den meisten Fällen eine exzellente Übereinstimmung mit der natürlichen Zahnfarbe.

VITA classical A1-D4® Farbskala
Ist das anerkannte „Original“ in der manuellen Farbnahme. Die Farben der VITA classical A1 - D4 Farbskala definieren seit über 50 Jahren den Standard der Zahnfarbnahme. Diese qualitativ hochwertige und mit Keramikzähnen bestückte Farbskala hat sich weltweit als Farbreferenzsystem für die gesamte Dentalbranche durchgesetzt.

3M Scotchbond Universal Plus Adhäsiv, Flasche
Ist für alle direkten und indirekten Indikationen und alle Ätztechniken geeignet. Es haftet an allen Restaurationsmaterialien ohne zusätzlichen Primer. Seine einzigartigen „Plus“ Eigenschaften sind: dentinähnliche Röntgenopazität, hervorragende Haftung, BPA-freie Formulierung, kompatibel mit allen dual- und selbsthärtenden Kompositen ohne Dualhärtungsaktivator.

